令和6年度(2024年度) 第114回看護師国家試験問題|午前41問〜午前60問
第114回国家試験 午前41
一次救命処置〈BLS〉で回復体位はどれか。

第114回国家試験 午前42
上部消化管内視鏡検査で適切なのはどれか。
第114回国家試験 午前43
成年後見制度で正しいのはどれか。
第114回国家試験 午前44
要介護認定者であっても、訪問看護が医療保険で提供される疾患はどれか。
第114回国家試験 午前45
Aさん(78歳、女性)は認知症があり、認知症高齢者の日常生活自立度判定基準Ⅰである。1人で暮らしており、かかりつけの医師から処方された複数の内服薬を1日3回服用している。嚥下障害はない。Aさんは「薬がたくさんあって、余る薬もあるのよ」と訪問看護師に話した。
このときの服薬管理で適切なのはどれか。
第114回国家試験 午前46
介護保険制度のケアマネジメントで適切なのはどれか。
第114回国家試験 午前47
急性期の患者に起きる生体反応で正しいのはどれか。
第114回国家試験 午前48
セルフヘルプグループについて正しいのはどれか。
第114回国家試験 午前49
終末期癌患者にみられる悪液質の徴候はどれか。
第114回国家試験 午前50
がん患者の家族における社会的苦痛はどれか。
第114回国家試験 午前51
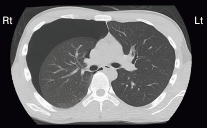
Aさん(27歳、男性)は、突然の胸痛と呼吸困難があり、救急外来を受診した。
意識は清明。身長179cm、体重63kg、胸部は平である。20歳から1日50本の喫煙をしている。バイタルサインは、体温36.1°C、呼吸数 22/分、経皮的動脈血酸飽和度(SpO2)96%(room air)である。
胸部CT(別冊No. 2)を示す。
Aさんの所見から考えられるのはどれか。

第114回国家試験 午前52
膵頭十二指腸切除術においてドレーンを留置する場所で正しいのはどれか。
第114回国家試験 午前53
自己血糖測定を行う患者への説明で正しいのはどれか。
第114回国家試験 午前54
成人の骨髄検査の穿刺部位を図に示す。
正しいのはどれか。

第114回国家試験 午前55
脊髄造影を受ける患者への説明で正しいのはどれか。
第114回国家試験 午前56
老化に伴う消化器系の変化で正しいのはどれか。
第114回国家試験 午前57
令和3年度(2021年度)の高齢者唐待の防止、高齢者の養護者に対する支援等に関する法律に基づく対応状況等に関する調査で、養介護施設従事者等による高齢者虐待について正しいのはどれか。
第114回国家試験 午前58
医療ニーズが高い要介護者が「通い」「訪問」「泊まり」のサービスを組み合わせて受けられる地域密着型サービスはどれか。
第114回国家試験 午前59
ポリファーマシーの説明で正しいのはどれか。
第114回国家試験 午前60
介護医療院の説明で正しいのはどれか。